Our Services

Preventive Childhood Dentistry
A professional fluoride application at regular intervals helps strengthen tooth enamel against cavities.

Sealants are resins or plastic materials which are usually applied on to the chewing surfaces of the back teeth i.e. molars and premolars. These materials flow into the natural grooves and pits, and seal them, thus protecting these susceptible areas from decay.
Top

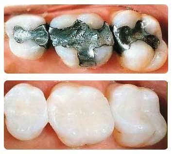
Cavity Fillings / Restoration of Teeth
Teeth which are decayed, fractured, chipped, and discolored or have gaps can be restored using the latest materials available which closely replicate the lost tooth part and match the adjacent natural tooth.





Top




Replacement of Missing Teeth
It can be done in the following ways:

Fixed Bridges
These are tooth replacements taking support from the adjoining natural teeth to replace missing tooth/teeth. The adjoining teeth should be healthy and have a good gum and root support. The fixed bridges are cemented to the tooth and cannot be removed by the patient. There are various types of materials that can be used to make bridges/crowns like Metal free ceramic, porcelain fused to metal, non-precious metal, precious metal, and acrylic.

Before

After

Removable Dentures
They are of two types: Full and Partial
Full Dentures are prosthetic devices constructed to replace missing teeth, and which are supported by surrounding soft and hard tissues of the oral cavity.
A removable partial denture (RPD) is for a partially edentulous dental patient who desires to have replacement teeth for functional or aesthetic reasons, and who cannot have a bridge (a fixed partial denture) for any number of reasons, such as a lack of required teeth to serve as support for a bridge (i.e. distal abutments) or due to financial limitations.

Top




Dental Implants
These are titanium tooth supports, which are surgically fixed into the jaw to replace missing teeth. Once embedded into the bone, they serve as supports to the crown and bridge.

This procedure is the best alternative for patients not comfortable with conventional dentures but have healthy gums and adequate bone to support the implant. The advantage of this system is that it does not require reduction of any natural adjacent teeth.

Implant supported Removable Denture
A denture is a set of removable artificial teeth that rests directly on the gums and may sometimes use support of implants. These may be used to replace one or all missing natural teeth.

For more images : View Gallery


Top

Previous Next

Enquiry/Feedback

*Are Mandatory fields

*Name
*Email Id
*Phone No.
Comments